신경치료 무섭지 않다. 진실을 알려주마. 치과 신경치료 치료 후기..
(어제...참지 못하고 결국...신경치료를 받았다.
동네 서창동 서울센트리얼치과병원에서...치료를 받기로 했다.
동네 의원급을 안가고 병원을 간 이유?
병원급이라서...이게 다다.라고 하고 싶지만......사실은 아래 공개하였다.)
"이글은 치과를 가기 무서워하는..
나와 같은 겁쟁이들에게...용기를 주기위한 후기다.
100% 모두 같은 경험을 하지 않겠지만...
무서워서..한달 이상 고민하고..보름이상 통증을 참아가며..
버티고 버티다가 ..결정한 사항이고..경험이다.
첫 경험에...생각보다 무섭지 않다는 것을 알려주고 싶다."
이글은 병원 소개..홍보가 아니라...
나와 같은 겁쟁이들에게.. 겁먹지 말고, 주변 치과병원...병원급에 가서...빨리 치료 받으라고 쓰는글이다.



일단...기존에 다니던 의원에서...너무 무서워서..엄살을 피웠더니..
병원급으로 가면...마취장비가 좋은 것이 있으니..
아프지 않게 치료가 될것이라고...의원에서는 포기를 해버려서...
결국 보름간 버티다가...고통에 몸부림 치다가..결국 치료를 받는 결정을 했다.
(얼마나 아프냐고?
인생에 아프다는 고통의 정도가 1~10 이라면..
인생 최고의 고통 10은..고문의수준이 아닐까..아직 느겨본적없고..
고통 9 정도라면, 자살을 생각하는 정도가 아닐까?
그리고 고통8 ..살아가면서 느길수 있는 최고의 고통이라 보면 된다.
내가 느낀 치통은 약 8 수준...
문젠...이 8 수준이 ..하루 종일 이란것
하루종일...이것이 정신적으로 사람을 미치게 할 수 있다는
말도 못하게 고통스럽다...고통이 계속 이어진다..)
나는 어느정도의 고통에 참을성이 있다고 자부하는 사람이라..
이빨의 고통쯤이야....버티고 신경이알아서 죽으면,,그냥 레진으로 해결하려는생각을
또한...유튜브에서 치과 선생들이...이런말을 했다.
"신경치료는 마지막 선택 치료다.
치과 의사들은 자신들 가족에겐 절대 신경치료를하지 않는다.
신경치료 하지 말고..보존치료를 해야한다.."
대부분의 유튜브에선...치과 의사들이 나와서 이런말을 한다.
그래서 버틸려고 했고..
여기저기 알아 보았는데...가는곳마다 신경치료를 하라고 한다.
하여튼..
이놈의 통증에...결국 내가 이길수 없다고 생각했고..
치과 병원을 찾게 되었다.
하루가 지나고...아침 새벽에 일어난 지금..
후기를 쓰고 있다.
"통증이...8에서...1~2 수준으로 내려왔다..
너~~~무 기분이 좋다...
아직 치료를 다 한것이 아닌데...하루 자고 나니...통증이 없다고할 정도로
이정도는 통증이 아니다...너무 기분이 좋다."
사실 어제 점심에 치료받고...약 5시간 가량...약 8강도의 통증이 계속 지속되었다.
그래서 다시 병원을 찾아 ..도저히 참기 힘드니 약을 처방해 달라고 했다.
지구상에서 가장 쎈 약으로...그런데...한알도 먹지 않았다..
치료를 받고...5시간은무조건 극악의 고통을 견뎌야 한다는것 잊지 마라..
"치료 받을 때...아프지 않으면 되는거다.이게 치과를 가기싫은 무서운 이유이다."
치료후 아픈건..충분히 참을 수 있어야 한다.
치료받을때...아플까바 무서웠던 나...
어느 치과를 가던...마취만 잘하면...
치료받는 중엔..절대 아프지 않다..!! 명심해라..
결론은 뭐냐?
치아가 아프면...그냥 치료를 받으러 가라..
참고 버티는건...너만 손해다...
어제 첫 치료였고...3일 뒤에 다시 2차 치료..
최대 4번더 병원을 방문할 수 있다고 한다...여러번의 치료와
마지막에 크라운? 뭐 치료후 약해진 이빨을 보호하는..작업 (예 : 금을 씌우고 금이빨 되는거..)
내가간 곳은..아래 병원이다..서창동에 위치한..
여기 위치를 소개하는건...
내 담당 원장 선생이..여성이었고...엄청난 미인 이라는 것이다.
기왕에 치료 받는데...이쁜 선생님이면 좋잖아? (욕하지 마라..이쁜거 싫어하는놈 있냐?)
보조를 하는 간호사들도 미인이란 점이다...
엄청나게 이쁜 선생님에게...이쁜 간호사들에게 치료를 받으면..
마음에 위로가 될것이다....(되는놈 있고 안되는놈 있겠지만..)
그냥 참고만 해라...(내가 여기 병원 홍보해줄 이유도 없고..기냥 내가갔던 곳..기록차원에서 남기는거다.)
서울센트리얼치과병원
서울센트리얼치과병원
임플란트,치아교정,심미보철,소아진료 등 치과진료 상담
scdh.kr

인천광역시 남동구 서창남순환로 222지번인천광역시 남동구 서창동 707-1

사실..난 남자 선생을 더 신뢰한다...
이쁜 얼굴로 치료하는 것보단..실력있는 남성을 선택해야 한다고..(편견)
그런데..살아가면서 3번의 치료중에...2번을 여성 선생님에게 받았네...
(뭐여..이것이.....이런 개소리를 왜 하지?..)
이쯤에서 2차 결론..
치료 받는 과정이 무서울거 같은면...병원급으로 가란 말이다..
좋은 마취 장비라든지...마취에 관해 병원급은 준비된 것이 더 있으니깐..
"마취만 잘하면...치료중에 고통은 없다..
진짜 나와 같은 겁쟁이들은..병원급에 가면..해결된다...이게 팩트다."
어디가 잘하고, 어디가 안아프더라..이딴건..집어 치워라...
그냥 아무대나 가면 된다.
단..
새로운 신생 병원보다는...그래도 몇년 이상된 곳을 추천한다.
신생 병원에가면 "마루타" 될 수 있다..
********************************************
2차 치료 리뷰 시작
2019.09.17 11시30분 예약 방문
*********************************************
오늘의 치료는 ...
- 남은 신경치료..끝내기..
- 한쪽 기울어져 깨진 이빨에 기둥세워서 이빨의 모습 만들기..
(보통은 신경 치료를 4~5번 방문한다고 한다. 개인적인 생각인데...
2~3번이면 될것 같으나...환자가 못버틸거 같다.
피료받는중..환자가 힘들어 할 수록 ..이 방문 횟수는 늘어난다...
뭐가 힘드냐고?
입을 "아~~~~~~" 하고 ..치료 받는 동안 벌리고 있어야 한다.
이거 죽을 맛이다.
턱주가리 매우 아프다.
이딴게 아프다니..의외였다.
증말 고통스런 시간이다.
중간에 힘들면 잠깐 쉬고 할 수도 있으나...
한가한 치과병원이 아니면...이건 어렵다...1분? 30초..잠시 쉬고 다시 시작..
이렇게 1시간 가량을 하다보면...환자가 더 힘들다..
엉뚱하게도 입벌리는것이 아파서 치과 치료가 힘든 날이었다.)
그렇다...
오늘 치료는 힘들었다...약 1시간 반동안 입을벌리고 있느라..
미처 버리는줄 알았다..
처음엔 이가 아프고...치과 치료가 무서웠는데...
오늘 새로운 공포를 하나 알게되었다...입벌리고 있는거..최악이다.
입벌리고 있으면? 안나던 입냄새도나기 시작한다...(이것도 새로 알게됨)
일단..
오늘은 방문하여 치료 시작은
간호사님이 먼져 이빨을 보고...남자 분이 와서..마취를 ..
자...따끔....해요..
자..이번껀 쫌 아파요...
진짜 아팠다...ㅠㅠ
이게 치과 치료의 고통..공포중 첫번째다. 마취 주사
마취할때만 무섭고 아프다는거..이거 빼면..치과에서 무서워 할게 없다..
아~~주 아픈것은 아니지만.. 꼬집는 정도의 고통은 생각해라..
이것만 견디면...치과 치료는 더이상의 공포는 없다..
(아 있구나...나중에 치료비? ..공통을 해결하는 비용치곤 싸다)
두번째는? 입벌리는고통...
(이건 요령것 10분마다 쉬자고 하면 해결..나처럼 한번에 다 끝내기를 바라면서..
짧은 시간에 다 치료할 수 있도록..참아내면..고통이 따른다..
치과 의사는 다음 손님도 치료해야 하기에 나에게 주어진 시간은 많지 않다.
그러니 주어진 시간에 최대한 치료할 수있게..내가 참아 본다..ㅋㅋㅋ)
세번째는? 치료가 끝나고 ..
마취가 풀리면서 다가오는 지옥의 고통시간...최소 3시간~ 5시간..
내가 보기엔..일반인들이 무서워하는 가장 무서운 고통이 이것일 것이다.
(나도 아파서 고생했지만....
난 치료중에 갑자기 악..!! 하고 오는 고통을 제일 무서워 했는데..
그런일은 일어나지 않았다..마취를 잘하면..일어날 수 없는 일이었다..)
그리고 약 20분뒤?
엄청난 미모의 치과 선생님이 왔다..
1시간 반동안...입벌리는 고통을 참아가며..
무엇인가로 이빨을 만들고..신경 치료를 완료 했다.
특별히 고통은 없었다.(마취가 잘되어서..)


첫날과 달리 둘째날 치료후의 고통은 없었다.
아름다운 치과선생께서..."만약 아프면 ..약을 드시라.." 했지만....
정말 고통이라 할 정도의 아픔은 없었다..
물론 통증 완화 약도 먹지 않았고..
(첫날의 고통만 ...공포스러움만 참으면...치과 치료는 이쁜 언니들 만나러 가는 소풍이라생각하면 된다. ㅋ)
자...이제 2차는 끝이 났고...3차 치료가 남았다..
저 석고 같은거 제거하고..신경라인에..뭔가를 넣어서 막아주고...
그리고 크라운 작업을 하나?
뭐할지 모르겠다...추석이 끝이 나고..가기로 했으니..
다음 후기는 그때...다쉬..쓴다..
********************************************
3차 치료 리뷰 시작
2019.09.27 11시30분 예약 방문
*********************************************
지금은 12시가 넘었으니...어제라고 표현해야 하겠다.
어제..3차 치과치료를 받았습니다.
오늘이 신경치료는 마지막날 이었습니다.
(오늘도 방문후 약20분정도 ...대기...입실후 대기 5분..
옆에서 내 담당 미모의 아름다운 선생님은 다른손님의 이빨을
열심히 치료를 하고 있는 모습이 보였다.
잠깐..보았는데도..이 치과 선생이란것이..
완전 노가다 수준의 고강도 체력을 소모히는 것이구나..하는 생각이 들었다.
일 끝나고, 편히 쉬지 않거나..
운동을 통한 체력관리가 안되면...
치과 치료 직업은 포기해라..졸라 힘들어 보인다.
이건 공부보다 체력이 ..정신력이 집중력이 필요한 직업이구나 하는 생각이 든다.
그래서 오늘도 매우 긴 시간동안 입을 버리고 있느라..많이 아팠지만...
그 힘든 모습을 생각하니..오히려 감사하단 마음이 앞서게 된다.
역시나 마취를 먼져 합니다.
이 마취를 하기전에...딸기맛 나는 무엇인가를 잇몸 여기저기에 발라줍니다.
이것이 1차 마취를해주어서 ..마취 주사를 아프지 않게 해줍니다.
하지만? 그래도 살짝은 따끔..합니다.
내 담당 선생님이 바쁘다 보니....
대기중에 남자분이 와서 마취를 대신 놔주고 사라진다.
(따끔? 오늘은 살작 아프게 마취를 했당...마취가 아프면 정상인가? ...ㅋ)
잠시후..드디어 담당 선생님 등장..
(옆의 어떤 아저씨 치료를 하느라 개고생한 것을 알지만..선생님은 밝게 나를 맞이해 주었다)
입만 보이게금 구멍이 뚤린 네모난 천을 얼굴에 덮습니다.
그래서 오늘도 무엇을 하는지는 볼수가 없이 ..
약1시간 30분동안 입을 버리고 있느라...많이 힘들었습니다.
뭔가를 작업하면서..뭐라고 말을 해주는데...그것이 잘 안들립니다.
하여튼 별 고통 없이 치료는 끝이 났습니다.
오늘로 신경 치료는 끝..!!!
오늘 치료내용은
신경치료한 곳..신경을 죽인 이빨속을 소독하고,
친환경? 무엇인가를 집어넣고..
똑같이 임시로 마감을 하였습니다.
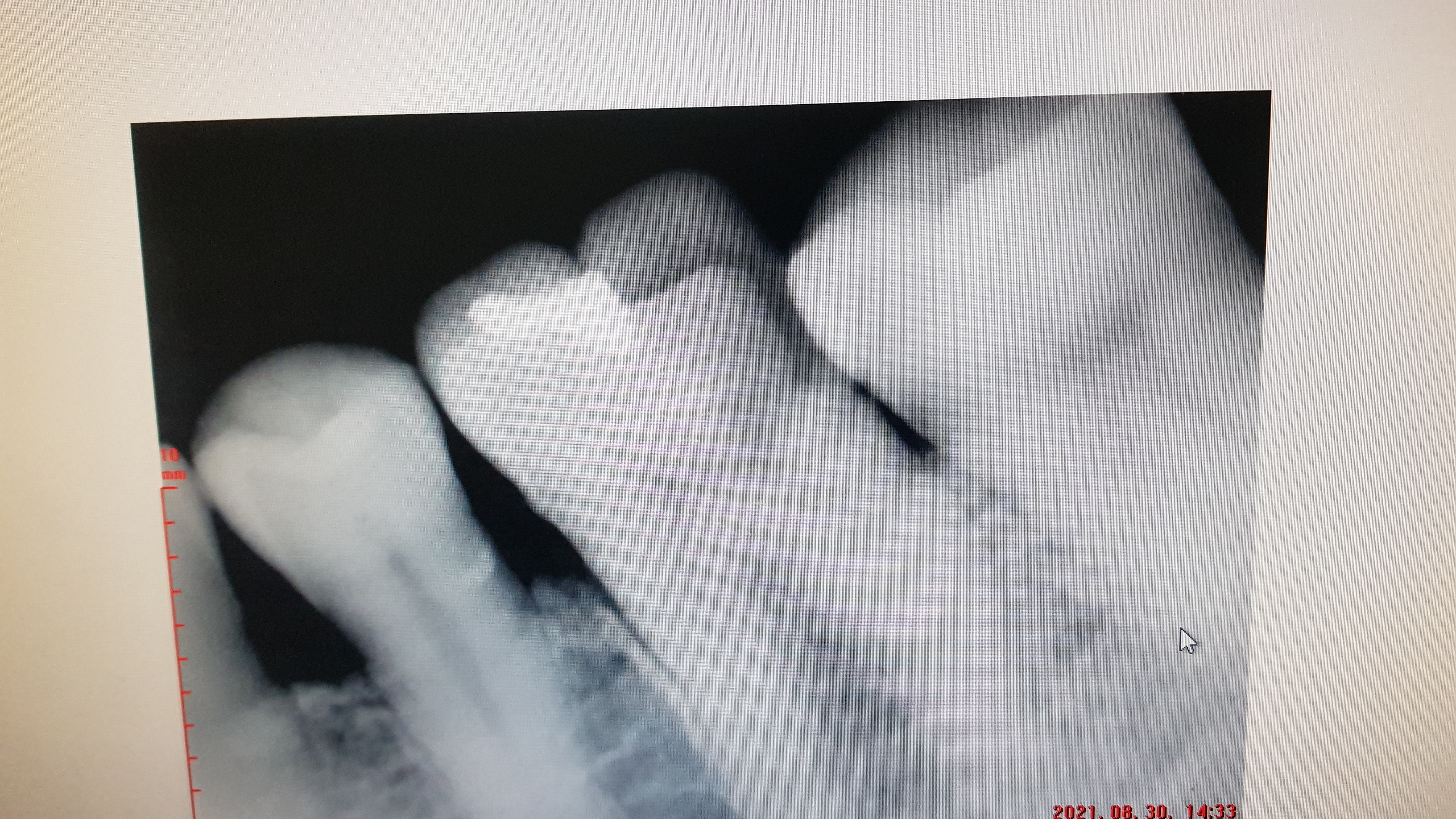
오늘은 치료후에 바로 그자리에서 이동 안하고 ..
엑스레이를 찍었다..
치료가 잘되었다고..설명해 줍니다..

그리고 실제 내 입속의 치아 사진..
더러울수도 있으니...잠간 고민을 하고 ..보든지 말든지..

여기까지가..
내 아픈 신경치료의 후기다.
남은것은...별 이상이 없다면...
다음번 방문에서 이빨속에 제대로된 것으로 막아서 마무리하고
이빨을 깍아서 금이빨...크라운 작업을 들어간다고 한다.
왜 금이빨로? 치과의사가 말하길...
금으로 크라운을 하는것이..치아랑 가장 비슷하고 가깝다고 한다.
금 다음으로 이빨색과 비슷한 것이 있는데...이건 금보다 강도가 더 쎄고 강하지만..
원래 치아 같지 않다고 ...금이 더좋은거라고...해서..
처음에...이빨과 같은 색의 45만원 짜리보다...
금으로 50만원 짜리로 하기로 하였다.
보기 흉하지만..
많은사람들이 금이빨로 하는 이유가...있던것이다...
절대 금자랑 하려고, 금이빨로 클라운을 씌우는 것이 아니었다는 ....
그래서 나도 금으로 하려한당...
여기까지....
이후....크라운 씌우는 작업때문에...(금이빨)
왜 금이빨을 선택 하였는지..
크라운 씌우기 위한 치료과정등...그 후기를 보시려면 ..
아래 링크를 클릭하시면 됩니다.
https://biduck.tistory.com/9693
치과 신경치료 후 크라운 씌우기 1차 후기
치과 신경치료 후 크라운 씌우기 1차 후기 (아래 내용에는..본인의 이빨 이미지들과.. 치료 과정이 사진으로 등록되어 있습니다... 하지만..어떤이에겐 쪼금은 비위가 상할 수 있기에...미리
biduck.tistory.com
'주인장 > 일기' 카테고리의 다른 글
| 치과 신경치료 후 크라운 씌우기 (금이빨 장착했다 ㅋ) 2차 후기 (0) | 2021.10.15 |
|---|---|
| 치과 신경치료 후 크라운 씌우기 (금이빨) 1차 후기 (0) | 2021.10.08 |
| 코로나 2차 접종 완료 (COVID-19) 후기..? (0) | 2021.10.05 |
| 태풍이 자나간 후 하늘은 정말 예술이다. 날씨가 유난히도 좋았던 날 .두번째 (0) | 2021.09.18 |
| 2021년 유난히 날씨가 좋았던 풍경 9월 8일 인천 남동구 (0) | 2021.09.12 |
| 어금니 쪽 이빨이 너무 아프다. 신경치료 해야하나? (0) | 2021.09.12 |
| 코로나 예방 접종 후기 - 오늘 백신 주사를 맞았다. (0) | 2021.08.23 |
| 차안에서 셀카 (0) | 2021.06.20 |