치과 신경치료 후 크라운 씌우기 (금이빨 장착했다 ㅋ) 2차 후기
--------------------------
일단 ..이번 후기는 2차다...1차 후기를 보시려면..아래 링크를 참고하시기 바랍니다
치과 신경치료 후 크라운 씌우기 (금이빨) 1차 후기
https://biduck.tistory.com/9693?category=690840
치과 신경치료 후 크라운 씌우기 (금이빨) 1차 후기
----------------------------------------------- (아래 내용에는..본인의 이빨 이미지들과.. 치료 과정이 사진으로 등록되어 있습니다... 하지만..어떤이에겐 쪼금은 비위가 상할 수 있기에...미리 공지합니다
biduck.tistory.com
----------------------------
오늘 ..금이빨을 장착하기 위해 치과병원을 방문하였다.
얼마전에 임시로 끼웠던...플라스틱 가짜 이빨을 뽑고..
소독을 하고..
금이빨을 임시로...끼운 다음에..
일주일 경과후..아무런 통증이나 이상이 없다면..
그때 완전히 접착해서 고정한다고 하였는데....
오늘 금이빨을 끼우고 나서...지구 최고미인 여선생님 왈...
"매우 잘 되어서..오늘 그냥 완전 장착을 할게요.."
그래서...오늘 완전히 금이빨을 끼웠다...
치료과정..*********
일단 의자에 착석하고...가짜 이빨 ..플라스틱 이빨을 뽑았다..
"자~~뽑아요 ~~ 쑥?"
너~~무 쉽게 빠져나왔다...뽄드로 붙였는데..이리 쉽게??



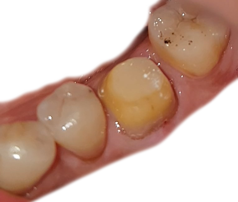
이빨에 저 검은 것은 어제 저녁에 먹은..초콜릿인가? 아마도?
그리고 나서...
크라운을 씌울 이빨에 청소 및 소독을...진행한다.

저 이빨에 검은 찌거지들은..무엇인지 모르겠으나...
뭔 잉크 같은 것이라고...양치를 하면 없어진다고 한다..
사진에 계속 있어서...영...이빨이 보기흉하다.

그리고...나서...별 일없이...바로~~~~~~~~~~~~~~~~~
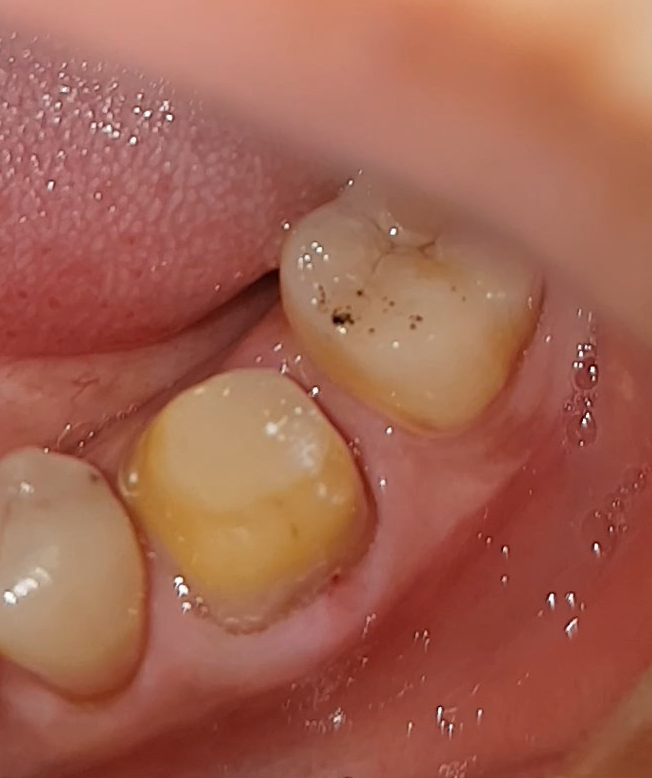
금이빨을 끼운다.
옆에 이빨의 본을 뜬 ..금이빨을 보여준다...
그래서 잽싸게 사진을 찍었다.


이것을 그냥 끼우는것이 아니고..
끼우고 나서...이빨을 지그재그로 움직여 보고...위아래로움직이면서...
무엇인가로 테크하고...윗니와 아랫니간의 간격..충격...갈리는정도등..
상당히 오랜 시간동안..빼고 끼고를 반복하면서..(치실로도 테스트하면서..)
금이빨을 갈아내는거 같았다.
위~~잉~~ 하는 계속적인 작업이끝이 나면..
최종적으로 이빨에 끼우고...먼..솜 같은걸 주면서...
뽄드가 제대로 붙을때까지....약 5분간 대기..
이시간이 지나면..
금이빨 씌우기는 끝이난다.
최종 금이빨을 끼운 이미지는...이글 맨 마지막에 올려놓겠다.
그후...
뭐 스켈링을 하기로 했기에...
마취를 위해 액체를 준다.(종이컵 약 1/6 정도?)
가글 마취액체를 약 1분간 입에 머물고 "아갈갈갈" 가글링을 하고나니..
혓바닥 끝의 감각이 서서히 이상해진다..(이야..이것도 마취가 되는구나..)
이것도약 30분정도? 엄청난 미모의 어느분이 와서..
스켈링을 해준다...
통증은 없고, (중간에 이시리거나 참기 힘들땐...왼손을 들라고 할려준다)
입벌리고 있는것이 살짝..힘이드는정도?
스켈링이 끝이 나고, 치카치카 칫솔질 하는법..치실 사용법이나...기타 이빨 관리 하는법을
직접 칫솔을 가지고...거울로 바추어 주면서..세세하게 알려준다..
오전 10시에 예약으로 10시 20분 정도에 시작해서...12기 5분 정도에 끝이 났다.
약 일주일 뒤에...또 가야한다.
잇몸 치료라는것을 2번에 걸쳐서 해야 한다고 한다.
일주일뒤 1번..
또 일주일뒤 1번...
이렇게 두번...
뭐 이젠 치과에 대해서 공포나 무서운 것이 없기에..
자주가는것에 대한 부담은 없다...(이젠 귀찮아 지는...참 인간은 간사하다..ㅋ)
자...이제..금이빨 결과를 볼 차례다.
살작 비위가 상할 수 있는 것이라..마지막에 올린다.
금이빨 하고난 뒤 느낌?
혀가 금이빨에 닫을때마다...미끌 거리면서...나쁘지 않다..
키스하는 느낌? ㅋㅋㅋㅋㅋㅋㅋㅋㅋ
금이빨을 끼우고 빼고 하면서..
무엇인가 계속 체크하고 테스트하면서..
무엇인가를 물고 이로 짓이기고 하는데...그것이 잉크가 묻어있는 성분인가?
이빨에 뭔 검은 찌꺼기들이 또...보인다.
여하튼...아래의 이미지가 최종 결과니..
궁금하신 분들은
쫌...더러워도..궁금하다면?..
봐라!!





나를 치료하던...그 이쁘신 선생님이..
이 블로그를 알려달라고 한다.......난 절대 알려 줄 수 없기에..바로거절 했다 ㅋ
진짜 이쁘냐고? 이쁘다..
여기 근무하시는 여성분들은 .대부분 미인이다..그리고 생각외로 매우 친절하다.
(난 겁쟁이라...서 그런지...매우 감동 받았고...매우 만족스런 곳이다.)
'주인장 > 일기' 카테고리의 다른 글
| 20대 대통령 선거. 소중한 한표를 투표를 하세요 (인증샷) (0) | 2022.03.09 |
|---|---|
| 몇일전 형이 오미크론 확진자 판정으로 결병원에 입원했다. (0) | 2022.02.09 |
| 가을 어느날 ... 맑은 하늘을 보았다. (0) | 2021.11.13 |
| 2021년 처음 비가 많이 내리던날 2021 The first day of heavy rain this year Incheon korea (0) | 2021.11.10 |
| 치과 신경치료 후 크라운 씌우기 (금이빨) 1차 후기 (0) | 2021.10.08 |
| 코로나 2차 접종 완료 (COVID-19) 후기..? (0) | 2021.10.05 |
| 태풍이 자나간 후 하늘은 정말 예술이다. 날씨가 유난히도 좋았던 날 .두번째 (0) | 2021.09.18 |
| 신경치료 무섭지 않다. 진실을 알려주마. 치과 신경치료 치료 후기.. (0) | 2021.09.15 |